
Médico usa raio-x de paciente infestado de ovos de tênia e pede atenção no preparo de carne de porco; entenda — Foto: Reprodução
GERADO EM: 29/08/2024 - 04:01
O Irineu é a iniciativa do GLOBO para oferecer aplicações de inteligência artificial aos leitores. Toda a produção de conteúdo com o uso do Irineu é supervisionada por jornalistas.
LEIA AQUI
Com mais de seis milhões de visualizações,o médico de atendimento de urgência da Universidade da Flórida Sam Ghali usou uma publicação no X para falar sobre o risco de exposição à cisticercose pelo consumo de carne de porco mal cozida. A doença parasitária ocorre pelo contato com fezes humanas infectadas com o ovo da tênia através de alimentos,água ou superfícies contaminadas com fezes. Os humanos engolem os ovos quando comem alimentos contaminados ou colocam os dedos contaminados na boca.
Veja vídeo: Harmonização ocular deixa mulher com olho colado,visão turva e perda de cabelo na China Entenda: Adolescente testa positivo para doença 'mais mortal do mundo' após ser picado por carrapato no Paquistão
Na postagem,Ghali diz que a imagem anexada é de um dos exames mais inacreditáveis que ele já viu. O médico aproveita para compartilhar com seus seguidores mais detalhes do processo de infecção,sintomas comuns e o que pode ocorrer em caso de negligência. Veja a publicação abaixo:
"Os humanos são infectados ao ingerir cistos que podem ser encontrados em carne de porco mal cozida. Após várias semanas (geralmente em torno de 5 a 12),esses cistos evoluem dentro do trato gastrointestinal para tênias adultas maduras. Essa condição é conhecida como Teníase Intestinal. Essas tênias adultas então eliminam ovos excretados nas fezes humanas. Depois que os ovos são ingeridos (humanos ou porcos),eles liberam larvas que penetram na parede intestinal e invadem a corrente sanguínea e de lá podem se espalhar para literalmente qualquer lugar do corpo inteiro. O cérebro,os olhos,os tecidos subcutâneos e os músculos esqueléticos são os destinos mais comuns. As larvas se alojam onde quer que acabem e,por fim,formam cistos conhecidos como cisticercos",detalhou Ghali.
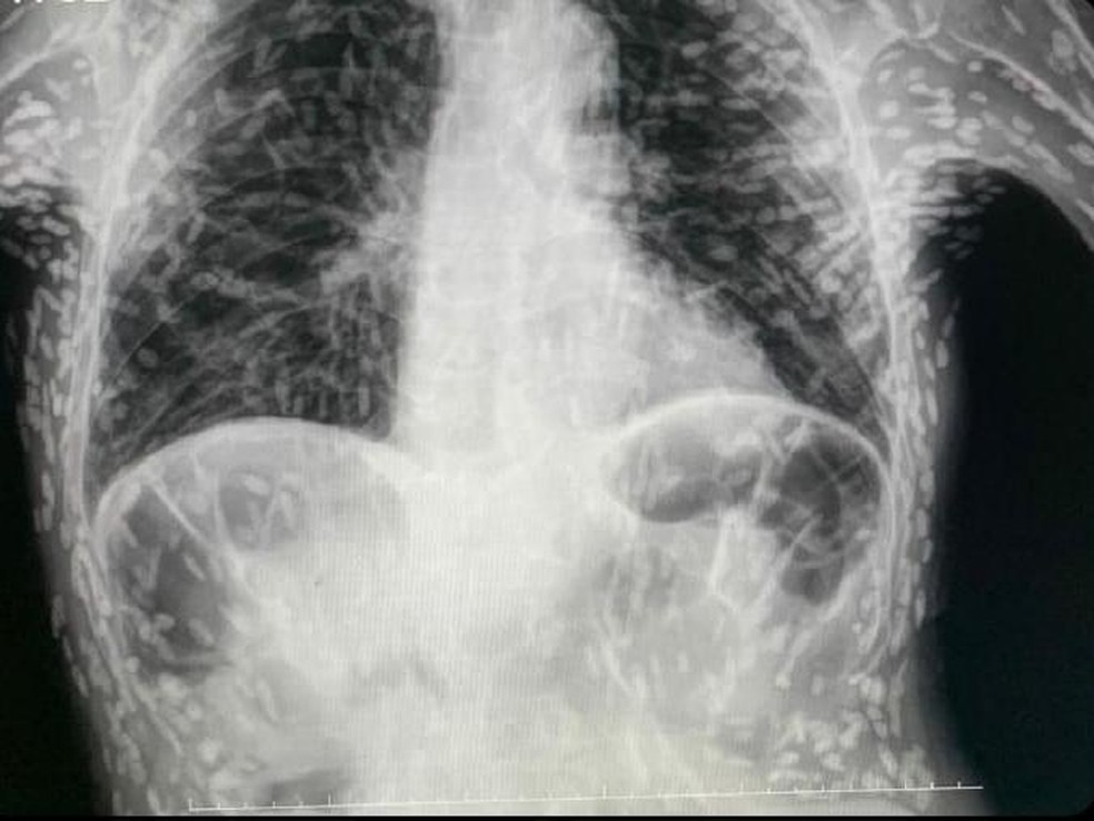
Em abril do ano passado,um caso de exame semelhante viralizou também no Brasil. Um paciente não identificado teve seu exame revelado nas redes sociais pelo Hospital das Clínicas de Botucatu,em SP. O paciente apresentava tosse constante há dois meses quando o exame foi solicitado. Os ovos de tênia encontrados no tórax já estavam mortos e calcificados,ou seja,não apresentavam risco a ele.

Os ovos de tênia encontrados no tórax já estavam mortos e calcificados,já não apresentavam riscos — Foto: Reprodução/ Twitter
Considerada rara no Brasil,com menos de 150 mil casos por ano,a cisticercose é causada por cistos da larva da Taenia solium nos tecidos. Cisto é uma forma que protege certos protozoários,com uma película ou cápsula,envolvendo um parasita capaz de se reproduzir quando encontrar o ambiente adequado.
Os sintomas variam conforme o local onde o parasita está alojado,por exemplo,quando está na musculatura,pode causar inchaço,inflamação e dificuldade nos movimentos. Porém,especialistas afirmam que este quadro ocorre,na maioria das vezes,em pessoas imunossuprimidas,que tem o sistema imunológico mais frágil.

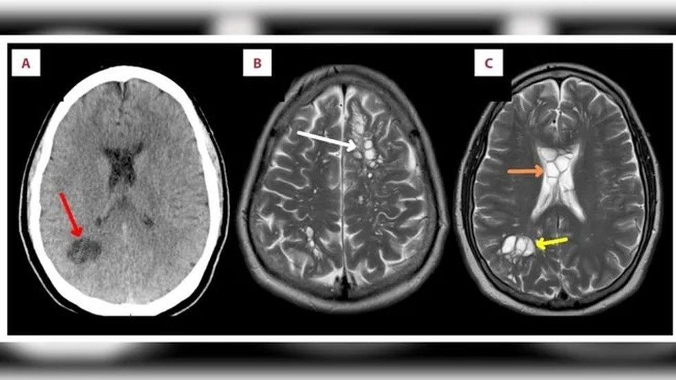
Imagens do cérebro após a contaminação com a tênia — Foto: Reprodução/American Journal of Case Reports
Quando chega ao cérebro (neurocisticercose),o paciente pode ter dores de cabeça frequentes,convulsões e confusão mental,sendo uma das principais causas de convulsões em adultos na maioria dos países de baixa renda,de acordo com os Centros de Controle e Prevenção de Doenças (CDC),dos Estados Unidos.
Já a cisticercose ocular pode desenvolver visão embaçada,inchaço,deslocamento da retina e até mesmo levar à cegueira.
Os sintomas podem ocorrer meses a anos após a infecção,geralmente quando os cistos começam a morrer. Quando os cistos morrem,o cérebro ou outro tecido ao redor do cisto pode inchar. A pressão do inchaço é o que geralmente causa os sintomas da infecção. Às vezes,os sintomas são causados pela pressão do cisto em um pequeno espaço,segundo o CDC.